TEL:03-5690-4182

休診日:火曜・祝日・日曜午後

診療案内

Medical information

口腔外科

歯が原因となるものから癌まで、様々な疾患が対象です。
交通事故やスポーツなどの外傷、顎変形症ならびに唾液腺疾患などの外科的疾患の他、口腔粘膜疾患、神経性疾患、口臭症などの内科的疾患も含まれます。
治療により口腔・顎・顔面全体の自然な形態や機能が回復すると、顔全体がいきいきとし、健康的な美しさを取り戻すことができます。そのお手伝いをするのが口腔外科です。

【主な診療内容】

  • 歯や歯周の損傷や炎症

  • 親知らずの処置

  • 食事や発音・会話がしにくい

  • 口臭が気になる

  • あごが開きにくい、ひっかかる感じがする

  • 腫瘍がある

治療のバリエーション

【歯を1本だけ失った場合】

失われた一本の歯根の代用品として、インプラントを一本だけ使って失った歯の部分を修復する方法は、最も洗練された治療方法であり審美的にも満足のいく結果が得られます。
一本のインプラントによってあたかも自分の天然歯のように自然に感じられます。
顎骨の萎縮の心配もなく、本来の骨量を維持できます。
ブリッジを入れる時のように健康な隣の歯を削る必要がありません。

【数本の歯を失った場合】

この場合もインプラントが理想的な解決法となります。
数本のインプラントを歯の無い部分に入れ、これを土台としてヘッド部にブリッジをかぶせます。

【歯のない部分が広い場合】

臼歯が失われた場合、従来は取り外し式の部分入れ歯で咬合機能を回復させてきました。
これに対し、インプラントなら天然歯と同様の感覚の固定式人工歯を入れることができます。

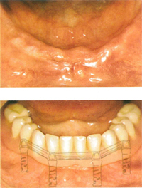
【歯がまったくない場合】

下顎の歯が1本も無い場合の修復にはインプラントがよく利用されます。
インプラントのヘッド部をバー状の維持装置で連結し、その上に取り外し式の入れ歯をしっかりと固定することができます。

よくある質問

Q

治療に痛みはありますか?

A

埋入手術は局所麻酔下で行いますので痛みはありません。

Q

インプラントを長持ちさせるには?

A

毎日の念入りな歯磨きや定期検診が重要です。
当たり前のことですが、インプラントには神経がありません。ですから感染が起こっても自覚がありません。
ぐらぐら動いてきたり、膿が出てはじめて気が付くのですが、こうなってからでは手遅れです。
治療終了後は先生の指示に従って必ず定期的に検診を受けましょう。

小児歯科

一生自分の歯で健康な生活を送るためには、子供のときから正しく歯を磨く習慣を身につけることが大切です。
また、もし虫歯になった場合はしっかりした治療を行いましょう。
当医院では、子供さんが不安がったり、怖がったりしないよう、スタッフが優しく丁寧に接しています。
治療と同時に予防の知識も一緒に付けていきましょう。

【主な診療内容】

  • お子さんの歯および口の病気の予防・治療とお口の健康管理

  • 歯並びや噛み合わせの相談や予防的対応

虫歯への対応

A. 歯垢
(細菌)

歯のヨゴレです。
染色剤を使用してカンタンに、見つけることができます。
歯垢は、ブラッシングやフロッシングして、取り除くことによって防げます。

B. 食べ物
(糖分)

糖分の少ないお菓子や飲み物を、おやつにすることにより防げます。

C. 歯質
(歯の質には個人差があります)

フッ素を歯の表面に塗ったり、シーラントを歯の溝に流すことによってムシ歯を防ぎます。
定期的な検診とフッ素塗布で、虫歯になりにくい環境を維持してあげることが虫歯にならないための近道です。

審美歯科

歯や口元の美しさに焦点を当てた総合的な歯科治療です。
歯科治療には「虫歯や歯周病を治す」「よく噛めるようにする」といった機能的な側面と、「白く形のいい歯にする」「歯並びを整える」といった美観の側面があり、この両方を満たす、美しさという観点をプラスした歯科治療が審美歯科治療です。

よくある質問

Q

クラウンとは?

A

大きな虫歯を治療した時に、残っている歯を保護するために、すっぽりと冠をかぶせていきます。
このかぶせるもののことをクラウンと言います。

Q

クラウンの材質は?

A

クラウンを作る材質にはいろいろな種類があり、使用する材質によって、耐久性や見た目、歯への影響などが異なります。
一部の材料は保険の適用範囲外になります。

Q

クラウンの種類:硬質レジン前装冠

A

保険の適用範囲内で使用できるクラウンです。
銀パラジウム合金(金の含有量は12%)のフレームに、白いプラスチックを貼付けて作ります。
耐久性はクラウンと比較すると劣り、お茶などの着色の可能性もあります。

Q

クラウンの種類:メタルボンド(プレシャス)

A

フレームの金属に、金82%の金合金を使います。
金の含有量が高いほど、歯との適合性がよく、きれいな色が出せます。

Q

クラウンの種類:メタルボンド(ハイプレシャス)

A

フレームの金属に、金97%の金合金を使います。
金の含有量が高いほど、歯との適合性がよく、きれいな色が出せます。
ただしプレシャスより軟らかい金属のため、4本以上のブリッジには適しません。

Q

クラウンの種類:メタルボンド(カラーレス)

A

歯と歯ぐきとの境目の金属が見えないようにすることができます。
歯ぐきの自然な感じが出せます。
将来歯ぐきが下がって、歯の根が出てきても金属部分が目立ちにくいです。

Q

クラウンの種類:メタルボンド(セミプレシャス)

A

金合金(金の含有量60%)のフレームに、セラミックを焼き付けて作ります。
天然の歯と同じ色に作ることができ、セラミックなので着色汚れにも強いクラウンです。
硬質レジン前装冠に比べると耐久性も高く、良い噛み合わせを作ることができます。
※保険の適用範囲外になります。

Q

クラウンの種類:オールセラミック(エンプレス)

A

フレームの金属が無く、全てセラミックで作ります。
耐久性はメタルボンドに劣りますが、みずみずしく透き通っておりきれいな仕上がり、金属アレルギーの方にお勧めです。
※保険の適用範囲外になります。

Q

クラウンの種類:セラミックインレー

A

フレームの金属が無く、全てセラミックで作ります。
耐久性はメタルボンドに劣りますが、みずみずしく透き通っておりきれいな仕上がり、金属アレルギーの方にお勧めです。
※保険の適用範囲外になります。

ホワイトニング

ホワイトニングとは、審美歯科の一分野で、広い意味では歯を白くすること全てを指します。
例えば歯のクリーニングから始まり、ブリーチング、マニキュア、ダイレクトボンディング、ラミネートベニヤ、セラミッククラウンまで、全てをホワイトニングということができます。

現在、一般に使用されているホワイトニングはブリーチングのことを指すことが多ようです。
このホワイトニング(いわゆるブリーチング)とは、歯を削らずに歯の着色有機質を分解して漂白し、白くする技術のことです。

ホワイトニングには歯科医院内で行う「オフィスホワイトニング」と、歯科医師の指導の下、ご自身で自宅で行う「ホームホワイトニング」があります。